Dimple Desai, DDS
Virtually every aspect of the direct composite restorative protocol has enjoyed significant improvement over the years. We can now commit to placing conservative and highly esthetic direct composite restorations effectively anywhere in the mouth without fear of compromising strength. Despite these improvements, direct composite restorations can still be subject to premature clinical failure. Although these restorations are widely performed every day in dental offices, their lifespans can significantly vary. A myriad of factors play into the longevity of posterior composite restorations; however, when they ultimately fail, they tend to fail due to secondary caries.1,2 Clinicians should evaluate their techniques and materials to ensure that they are incorporating practices that provide patients with the best composite restorations that they are capable of placing. Aside from having a practice full of happy patients, there can be great personal satisfaction to be had from creating exquisitely sculpted and highly polished restorations that vanish within teeth. It can also be equally satisfying to see those beautiful restorations year after year at re-care appointments.
Composite Longevity
It is not uncommon, nor is it unreasonable, for patients to ask how long their new restorations will last. Moreover, when clinicians advise patients that a restoration must be replaced, they are frequently asked why or how did it get to this point. In both scenarios, this conversation is often prompted because the clinician is showing the patient an image of the actual restoration on a screen, and there is an opportunity to educate the patient based on clinical experience and an evaluation of the possible case-specific variables that could affect the outcome. In cases involving failed restorations, can the clinical failure be attributed to any aspect of the restorative protocol followed at the time of placement? Could a change be instituted in any of the techniques used that could improve a future outcome? Or in cases in which patients are questioning the expected lifespan of a new restoration, has everything been done throughout the procedure to create the most ideal restoration possible?
Thanks to robust social media networks, our patients have access to a vast amount of information about dentistry, including videos of procedures, before-and-after photographs, and the posts of any number of patients expressing their opinions about their dental experiences. It has never been more prudent than now to take the time to educate patients regarding what is possible for them as well as the expected and possible outcomes. Managing their expectations is essential to managing their overall dental experience.3 Although this may sound like advice reserved for more extensive dental procedures, it can be just as applicable for a single composite restoration.
Improved Techniques and Materials
Ongoing improvements to the direct composite workflow have addressed postoperative sensitivity, mitigated the bond degradation caused by matrix metalloproteinases and other factors, improved chairside efficiency, and more. However, there have been as many improvements to the materials and their application as there have been to the steps in the workflow. The ability of direct composites to replicate natural tooth structure has made esthetic dentistry mainstream. There are many composites available that combine both strength and enhanced optical properties that can create imperceptible margins. Furthermore, we now have high-strength adhesives that allow us to choose between self-, selective-, and total-etch modalities depending on the clinical scenario. In light of all of the recent advances in dental materials and technologies, it is a good idea for clinicians to occasionally vet their restorative workflows based on clinical outcomes and make evidence-based changes if they would help improve future outcomes. The following case report highlights the use of modern protocols and materials in the re-treatment of a failing posterior composite restoration.
Case Report
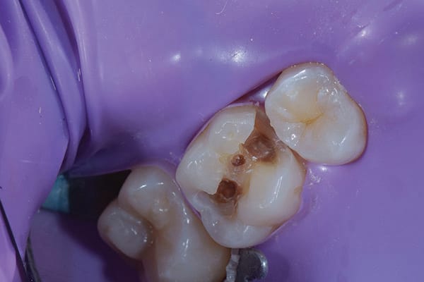
A 22-year-old patient presented for a re-care examination during which a preexisting occlusal composite restoration on tooth No. 14 was found to be undermined and fractured. It was not clear how long ago the composite had been placed. Although caries was clinically evident marginally and on the mesial aspect of the tooth (Figure 1), the patient did not report experiencing any sensitivity associated with the tooth or that area of the dentition. The patient was advised of the issue, shown the area of decay, and agreed to re-treatment with a Class II composite restoration.
This author of this article has developed a consistent workflow for composite restorations that reflects her commitment to diagnostic investigation, magnification, isolation, the proper selection and placement of dental materials, finishing and polishing, and a final evaluation demonstrating harmonious form and function with the surrounding teeth. A strict adherence to this workflow facilitates the highest level of esthetics for posterior restorations and brings consistency and predictability to restorative outcomes.
Isolation and Preparation
Carious lesions affecting Class II composite restorations are often detected at the proximal gingival margin.2 The integrity of the marginal seal here is particularly susceptible to degradation over time if steps are not taken to mitigate related factors. This begins with the thorough isolation of the restorative field using a properly punched and placed rubber dam. Generally, this serves as protection for the patient and clinical staff and provides increased visibility of a retracted, debris-free operative field. But most importantly, the rubber dam establishes a moisture-free environment for optimal bonding conditions. Contamination from saliva, blood, and gingival crevicular fluids can decrease bond strengths and jeopardize the marginal seal, leading to secondary caries. In this particular clinical scenario, a heavy gauge, latex-free rubber dental dam (True™ Dental Dam, Clinician's Choice) was used.
Once the operative field was isolated, a No. 557 carbide bur was used in a high-speed handpiece to efficiently remove the existing composite restoration and extend the preparation mesially. The Class II preparation was then refined using a fine diamond chamfer bur. Initial caries removal was performed using a round carbide bur in a slow-speed attachment (Figure 2). After initial caries removal, a caries indicating solution (Seek™ Caries Indicator, Ultradent) was used to stain any suspected remaining caries (Figure 3).4 Caries indicating solutions target demineralized dentin with a highly visible stain, providing an efficient and effective means of ensuring that only the infected dentin is subsequently removed, leaving the affected dentin behind (Figure 4).
Matrix Placement
The development of the proximal surface of a Class II composite restoration is critical to its function and longevity. The location, shape, and strength of the proximal contact can affect tooth position, masticatory efficiency, food impaction, and the ease of maintaining oral hygiene.5 When delivering Class II restorations, the matrix system selected can affect the predictability and consistency of the development of properly contoured proximal surfaces and contacts. It can also affect the protection provided from fluid contamination by helping to completely seal off the preparation. The matrix system used in this case (DualForce™ Sectional Matrix System, Clinician's Choice) was selected because it provides robust separation forces and the flexibility to be used in most Class II composite scenarios (Figure 5). The matrix bands (DualForce Ultra-Wrap™ Matrix Bands, Clinician's Choice) are pre-contoured, which results in a natural proximal contact position and helps in guiding the development of the marginal ridge. Once placed, the apron of the matrix band rests gently in the gingival sulcus, well below the gingival margin. The wedges (DualForce Active-Wedges™, Clinician's Choice) are contoured in two dimensions, so the leading edge first collapses then re-expands once beyond the contact area. The separation force created by this action allows it to completely seal the gingival margin with the matrix band with an equal amount of pressure both buccally and lingually.
Composite Bonding
Other critical factors that influence the longevity of posterior composite restorations include the adhesive used and the level of dedication shown in following the manufacturer's instructions.6 High bond strengths and low film thicknesses are desirable characteristics of bonding systems, and ease of use is important as well. In this case, the enamel was selectively etched for 15 seconds, and then the preparation was rinsed, leaving the dentin moist. This is a critical component for a restoration that relies so heavily on the integrity of the dentin bond for longevity and no postoperative sensitivity. Next, the adhesive (MPa Universal™, Clinician's Choice) was placed. This adhesive was chosen for its consistently high enamel and dentin bond strengths as well as its flexibility in bonding modes, which gives it versatility for use in various restorative applications. One coat of the adhesive was scrubbed into the preparation for 20 seconds (Figure 6), air-thinned for 5 to 7 seconds to evenly distribute it and drive off the ethanol solvent, and light cured for 20 seconds (BluePhase® G4, Ivoclar).
After the adhesive was light cured, the composite (Evanesce Silk™ Nano-Enhanced Universal Restorative, Clinician's Choice) was placed into the preparation in 2-mm increments with a composite gun (Compo-Ject™ Compule Dispensing Gun, Clinician's Choice) (Figure 7). Each layer of composite was adapted to the preparation and matrix band using a contouring instrument (Optrasculpt®, Ivoclar) (Figure 8) before being light cured for 20 seconds. Once the final layer was adapted, blended into the margin, and smoothed, the final development of the marginal ridge and grooves was accomplished followed by a final 20-second light cure. The chosen composite was selected because it combines strong physical and optical properties with great handling qualities. In addition, its slightly creamier viscosity allows it to be easily manipulated and adapted to preparations while retaining its ability to be easily sculpted.
Although some may feel that the use of tints to improve the esthetics of posterior composite restorations is unnecessary, using them to create a very subtle stain effect in the occlusal anatomy can help these restorations to better blend with the surrounding dentition. In this case, a brown tint (Inspiro®, Edelweiss DR) was applied to mimic the grooves of the adjacent teeth. This was applied into a shallow channel made with the tip of an explorer, and then the excess was removed with a microbrush. (Figure 9). "Less is more" is a good rule to follow when applying tints.
Finishing and Polishing
Finishing and polishing has an undervalued effect on composite longevity.7 When the composite surfaces and transition zones between the composite and natural tooth structure are highly polished, it minimizes plaque retention and makes the restoration easier to maintain. The finishing of the restoration in this case was quick and limited to occlusal adjustment as a result of the careful smoothing and blending of the composite prior to the final light cure. A fine football-shaped diamond bur was used to adjust the occlusion and remove any interferences.
Creating a high gloss finish was quickly achieved with a two-step diamond polishing system (A.S.A.P.® All Surface Access Polishers, Clinician's Choice). First, the purple pre-polishing spiral was used at 8,000 to10,000 RPM with a gentle sweeping motion for approximately 30 seconds (Figure 10). This was followed by the peach-colored final high shine polisher, which was used at the same speed and with the same motion but with a slightly lighter touch (Figure 11). The high luster result was almost instantaneous.
Conclusion
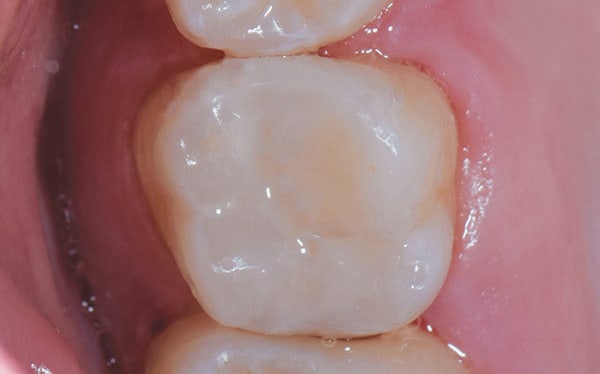
The patient was shown the finished restoration and was extremely happy with it. A highly esthetic clinical result was achieved, but importantly, every effort was made to maintain a clean and dry operative field for optimal bonding conditions, time was taken for incremental composite placement, the margins were sealed and polished, and the occlusion was adjusted to be in harmony with the surrounding dentition (Figure 12). The clinician must do everything in his or her power to provide an ideal restoration that has the potential to maintain its function and esthetics for many years. Then, the patient bears the responsibility of maintaining it with daily brushing and flossing along with regular re-care appointments. It is a partnership after all.
About the Author
Dimple Desai, DDS
Accredited Member
American Academy of Cosmetic Dentistry
Luminous Smiles
Newport Beach, California