The dental office workflow is presently undergoing rapid evolution toward efficiency given the incorporation of technology within dentistry.1,2 Computer-aided design/computer-aided manufacturing (CAD/CAM) along with digital impressions comprise the digital approach to achieve better diagnostics, treatment planning, and execution of treatment. The fully digital workflow is generally considered more efficient than traditional methods, reducing costs and time1,3 while being preferred by patients.4
Complete edentulism is an irreversible condition that is most prevalent in the elderly population; rates of prevalence vary widely between countries and independent regions within a country.6,7
In response to this condition, patients often opt to replace their missing teeth with a removable prosthesis. These prostheses can bring about a variety of problems, such as fracture, loss, or even malfunction. Functional problems in dentures can even be responsible for sparking malnutrition, health problems, avoidance of social activities, personal embarrassment, and psychological stress.8,9
CAD/CAM for Removable Prosthodontics
Traditionally, the fabrication of conventional complete dentures has required five key steps to achieve accuracy and precision10,11: preliminary impression, final impression, record-taking, artificial tooth arrangement try-in, and delivery of the final prosthesis. The use of CAD/CAM technology in removable prosthodontics presents a variety of advantages, including reducing the number of patient visits to the dental office, better cost efficiency, and a lower risk of cross-contamination. It allows clinical information and data to be stored for fabrication of a spare or even a new denture, if needed.5,12 The digitization of the edentulous arches can also improve the definition and accuracy of the dental impression as well as eliminate the polymerization shrinkage of polymethyl methacrylate seen during conventional denture processing. In short, CAD/CAM procedures in removable prosthodontics can provide results similar or superior to conventional techniques, offering better fit of the surfaces, improved mechanical properties, and higher patient satisfaction.5,13
The impression technique plays an important role in the fabrication of removable prostheses, as it is crucial to the subsequent reaction of the supporting tissues. Theoretically, the ideal impression provokes no compression or displacement, incorporates all the edentulous regions, and ensures the adaptation of the denture to the oral structures.14,15
Treatment Planning for Variable Conditions
The literature is inundated with articles on the use of digital scanning of patients' soft tissues and the fabrication of dentures from scratch. However, patients are not uniformly edentulous. They arrive to dental offices in variable conditions, which can generally be divided into three categories: (1) terminal dentition, which requires edentulation and an immediate-insertion denture; (2) existing, esthetically acceptable denture that is ill fitting and no longer comfortable; (3) existing denture that is unacceptable and can no longer be worn. Rather than "reinventing the wheel" every time a patient needs a denture, a combination digital technology-traditional workflow may be used to treat each of these three common situations and create an efficient denture fabrication process.
First-Time Dentures Are Required
In this instance, an immediate-insertion denture needs to be developed. The process entails recording extraoral photographs of the patient smiling as well as lateral views, taking an optical, digital scan of the mouth at rest, and generating an interocclusal (bite) record using the position and shape of the patient's remaining teeth. The rest of the work can be done in the digital laboratory or traditionally on a physical model. The teeth can be digitally removed in the digital laboratory or physically removed on a printed model.
An under-extended denture is then fabricated utilizing the extrapolated position of the original teeth, using the original vertical dimension, and retaining the original shape or, if desired, incorporating a new, more attractive tooth mold. Chairside, upon extraction of the teeth, the new dentures are delivered with soft reline material and the patient is sent home with the transitional prosthesis, as is done in traditional immediate denture fabrication.
The patient must accommodate to the new denture, and the soft tissues and bone need to be allowed to heal. The original scan of the patient is likened to a mucostatic impression because it captures tissues in an uncompressed state. The soft-tissue reline, however, is likened to a functional impression technique, which uses a closed mouth to mold the borders of the denture. Once healing takes place, the denture is relined with a tissue conditioner/functional impression material and the patient is sent home to function as usual. Once the final contours of the denture are established, the denture is then scanned, and a final denture can be milled and delivered to the patient.
Patient Presents With Uncomfortable Dentures
These cases typically involve either an experienced denture wearer with an old denture or a patient who requires a final denture following previous treatment with an immediate-insertion transitional denture, as described in the first scenario. In this case, the acceptable denture is hollowed out and relined with tissue conditioner impression material, such as Hydro-Cast® (Sultan Healthcare, sultanhealthcare.com) or Lynal® (Dentsply Sirona, dentsplysirona.com). The patient will then function for a period of time as recommended by the manufacturer of the tissue conditioner/functional impression material, resulting in an excellent, well-fitting myofunctional impression.
However, contrary to traditional protocol of surrendering the denture for a few days for the laboratory to rebase the denture, the myofunctionally molded denture is scanned chairside, and a final denture is milled. This way the patient retains the original denture for future emergency use and production of a new denture, and more importantly, the new, digitally milled denture avoids the problems associated with the chemical incorporation of the rebase material and the shrinkage upon curing associated with the process, and a much more durable result is produced. It has been shown that "there is less residual monomer in the CAD/CAM milled resins than conventional heat-cured resins."16
Patient Presents With Unacceptable Complete Dentures
Patients often present with ill-fitting dentures, including those that are esthetically and/or phonetically unacceptable. In these cases, rather than starting from scratch, the clinician can use the old dentures to obtain proper borders and take records. This can be done using conventional heavy-body impression material or chairside soft reline material. The dentures with the corrected borders can be used to obtain the proper VDO and to register the proper position of the teeth. Rather than taking the corrected dentures from the patient, they can be scanned and virtually articulated. The clinician can then idealize tooth position, adjust the denture base extension, and duplicate again once the fit and function are idealized, as discussed in the second scenario.
In all three of these procedures the denture travels only from the point of production to the patient. In addition, the cost of milling a new denture is substantially less than the cost and labor involved in producing a conventional laboratory reline.
Case Descriptions
Case 1
This case represents a situation that would meet either of the first two scenarios; in this instance a first-time denture wearer was delivered immediate-insertion complete dentures, and once the patient healed, these dentures were used to fabricate the final new set of dentures.
In April 2017, a 74-year-old female patient presented with a chief complaint of having two flippers in her mouth and that "everything is loose" (Figure 1 and Figure 2). Her medical history included high blood pressure and breast cancer treatment in 2002 with a left mastectomy; based on consultation with the patient's physicians, however, there were no contraindications for dental treatment. Her medications included Avapro® and Pravachol®. She was allergic to penicillin.
The patient reported severe fear of dental treatment, which contributed to the poor condition of her dentition. She presented with maxillary and mandibular removable partial prostheses to replace missing teeth, along with neglected remaining dentition with advanced periodontitis, caries, and tooth mobility. A panoramic x-ray was taken, and all teeth were deemed nonrestorable (Figure 2). Considering the patient's financial limitations and fear of surgical treatment involving implant placement, transitional immediate-insertion dentures using a digital workflow and production were deemed to be the optimal treatment choice. Once bone and tissue healing and remodeling was complete, the transitional dentures would be replaced with final removable complete dentures. Because of her fear of dentistry, the patient did not return for treatment until nearly 3 years later.
Digital technology allows for streamlined treatment with the removal of all the offending teeth and delivery of dentures right away. Using an optical scanner (TRIOS®, 3Shape, 3shape.com), the teeth and hard and soft tissues were scanned and an interocclusal (bite) record was obtained (Figure 3). A CAD/CAM digital denture protocol (3Shape) was followed, artificial tooth arrangement was developed, and short-bordered dentures were fabricated. All necessary information as to the VDO and position of the teeth was obtained from the 3D optical scan and the interocclusal record (bite scan) acquired at the first visit. All clinical information checklists were completed and sent electronically along with patient photographs to the lab processing center. Two weeks later the extraction of all teeth was performed (Figure 4 and Figure 5) and the immediate complete prostheses with a soft reline (COE-SOFT™, GC America, gc.dental/america) were delivered (Figure 6).
At this point, a traditional immediate denture protocol was followed with follow-up visits and adjustment of the reline material performed as needed.
Once soft-tissue healing was deemed complete and satisfactory, which is typically within 6 months, the soft reline material was removed from both prostheses, and both dentures were relined with Hydro-Cast, a short-term soft liner tissue conditioner (tissue treatment) that is used as a functional impression material. The patient was instructed to wear the dentures and allow her muscles to mold the tissue conditioner. After 2 weeks, the excess Hydro-Cast material was removed and CAD/CAM scans of the maxillary and mandibular prostheses were completed for duplication (Figure 7).
Case 2
In this case, a 74-year-old man presented with an extensive history of health issues that included chronic obstructive pulmonary disease with a heart stent and arthritis. Medications included Brilinta®, metoprolol, atorvastatin, lisinopril, and prednisone; however, based on consultation with the patient's physicians, there were no contraindications for dental treatment. The clinical examination revealed resorbed ridges with minor keratinized mucosa. The patient had a pair of ill-fitting, highly unesthetic maxillary and mandibular partial dentures, which were fabricated many years prior and could not be reused. The treatment plan involved proceeding with a new full denture using the CAD/CAM technology digital denture protocol (3Shape).
The patient's maxillary and mandibular arches were digitally scanned in an analogous process to obtain a pure mucostatic impression (Figure 8 and Figure 9). Short-bordered denture bases were fabricated on printed models and delivered with wax occlusal rims. The VDO, esthetics, and phonetics were evaluated in a traditional manner, registering all of these aspects in the wax rims. A traditional tooth arrangement try-in was performed and the dentures delivered with functional impression material. After 1 week, a liquid plasticizer was applied on both dentures' short-term soft liners (tissue conditioner; Hydro-Cast) to facilitate molding as per the manufacturer's protocol (Figure 10). After another week, the final digital scan of the molded dentures was performed using the TRIOS scanner and sent electronically to the laboratory for duplication. Of course, in this scenario the option of surrendering the dentures for a rebase is available but not necessary because the original dentures used for fabrication can be used over again to obtain a myofunctional impression at a future date when new dentures are needed.
Denture delivery was efficient and consisted of evaluating the basal seat, occlusal relationship, phonetics, and esthetics (Figure 11). Both dentures were highly stable. Pressure-indicating paste revealed no pressure spots. Occlusion was evaluated both visually and with articulating paper. Contacts were equal and well distributed. Evaluation of phonetics revealed some slight lisping, proved to be nearly nonexistent at the 3-day recall.
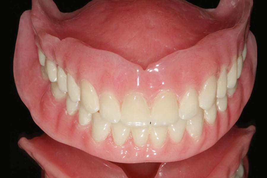
The patient was extremely pleased with the esthetic result and reported total comfort and satisfaction on the day of delivery (Figure 12). The 2-week recare appointment was uneventful, although one small sore spot was adjusted. The patient was happy with the experience of using the CAD/CAM digital denture protocol. The basal seat of the dentures was considered exceptional, occlusion was stable, and the esthetics were deemed more than satisfactory. Moreover, the patient was glad to know that a copy of the dentures was available for future use if needed.
Discussion
With an aging population, the prevalence of edentulism is increasing worldwide.17,18Although conventional methodology for removable prosthodontic fabrication was established many decades ago, CAD/CAM technology offers promising advances. Besides fewer patient visits, less clinical treatment time, and reduced contamination from material handling, particularly with dental impressions, digital technology has created an opportunity for a change in prosthodontic protocols.
Many removable prosthodontic impression techniques have demonstrated great success for recording edentulous ridges. An important aspect of removable prosthodontic impression-making is the reaction of supporting tissues, particularly in complete dentures.19,20 Today it is important to use a technique that is amenable to the patient and able to record the anatomic ridge landmarks. The use of CAD/CAM technology can reduce the number of office visits and improve cost efficiency.21,22
Most notably, the technique described in this article solves the main problem of the digital impression technique: the capture of the functional borders of the denture. Although a digital scan can capture the hard palate or the keratinized portion of the mandibular denture, it is not possible to capture the functional borders of the denture since they are movable. Utilizing the combination of a predictable myofunctional impression and digital technology gives providers the ability to deliver a predictable, superior, and cost-effective treatment to patients and should be considered as the future standard operating procedure for CAD/CAM removable prosthodontic dentistry.21,22
Conclusion
The integration of CAD/CAM technology into removable prosthodontics marks a significant advancement in the treatment of edentulism, offering both clinicians and patients a more efficient, accurate, and cost-effective approach to denture fabrication. By reducing the number of patient visits, minimizing chairtime, and improving the precision of impressions and denture fit, digital workflows are revolutionizing traditional denture-making protocols. The combination of digital scanning with traditional myofunctional impression techniques provides a versatile solution to the challenges of denture fabrication, ultimately delivering superior results with greater patient satisfaction.
About the authors
Zev Kaufman, DDS
Clinical Assistant Professor
Director of Advanced Implant Restorative Concepts Lecture Course
Department of Periodontology and Implant Dentistry
New York University College of Dentistry
New York, New York
Private Practice in Prosthodontics and Implant Surgery (Surgically Trained Prosthodontist)
New York, New York
Ludovic F. de Carle, DDS
Prosthodontics Resident
University of Washington School of Dentistry
Seattle, Washington
Klenise S. Paranhos, DDS, MS
Clinical Assistant Professor/Assistant Group Practice Director
Department of Cariology and Comprehensive Care
New York University College of Dentistry
New York, New York
Diplomate, International Congress of Oral Implantologists
Private Practice
Chappaqua, New York
Mary Kang, DDS
Clinical Associate Professor
Department of Periodontology and Implant Dentistry
New York University College of Dentistry
New York, New York
Private Practice in Prosthodontics and Implant Surgery (Prosthodontist)
New York, New York