Abstract: This complex case involved a patient with lip hypermobility and a "gummy smile" who was self-conscious of her aging ceramic restorations. She also lacked a stable bite and desired a comfortable position for her jaw. The patient was opposed to botulism toxin injections and surgical correction to decrease lip mobility. A treatment plan was produced utilizing a systematic treatment approach that accommodated the patient's treatment preferences and successfully reduced her gingival display, created a functional bite, and enhanced her smile, thus achieving all of the patient's goals.
Clinicians are often faced with patients who display excessive gingival tissue when smiling and who suffer from other cosmetic and functional issues. To achieve a long-lasting and successful result, it is crucial to first identify the etiologic factors contributing to the patient's excessive gingival display and, in the present case, uncomfortable bite before choosing appropriate treatment options. The patient's treatment preferences also need to be considered. In this case, the treatment ultimately performed included orthodontics, surgical crown lengthening (SCL), and restorative treatment.
Clinical Case Overview
A 54-year-old female patient presented for comprehensive examination and treatment. She was self-conscious about the appearance of her smile, declining esthetics of her 40-year-old veneers, and amount of tissue display, and she had an uncomfortable bite (Figure 1). Treatment goals were to create an esthetic smile and a balanced functional occlusion. The patient's high dentofacial and functional risks needed precise management. The esthetics would be improved with SCL and the placement of new indirect ceramic restorations on teeth Nos. 7 through 10. The high gingival lip dynamics meant that the restorative treatment would be visible.
Medical and Dental History
The patient's medical history was unremarkable, and she was classified as American Society of Anesthesiologists (ASA) I. Dental history included orthodontic treatment at age 13 to close large diastemas between teeth Nos. 7 through 10, which resulted in a partial improvement. To complete closure of the interdental spaces, conservative porcelain veneers were placed at age 14. A pretreatment view of the veneers at presentation is shown in Figure 2.
Diagnosis, Risk Assessment, and Prognosis
Periodontal: All probing depths were 3 mm or less, and the radiographic position of the osseous crest was within 2 mm of the cementoenamel junction (CEJ), resulting in an American Academy of Periodontology (AAP) stage I, grade A classification (Figure 3).1
Risk: Low
Prognosis: Good
Biomechanical: Questionable restorations were present on teeth Nos. 2, 3, 7 through 10, 14, 30, and 31, resulting in a fair prognosis without treatment. Caries were noted on teeth Nos. 15, 18, and 19 (Figure 4 and Figure 5).
Risk: Moderate
Prognosis: Hopeless for teeth with carious lesions, fair for those with questionable restorations
Functional: Tooth No. 9 had chipped within the past 5 years, indicating an active condition (Figure 6). The patient reported that her mandibular jaw felt pushed back when she tried to bring her posterior teeth together. She noted that she frequently had to squeeze her jaw to align her teeth, experienced multiple bite positions, and often felt soreness in her teeth. Chewing hard foods posed a challenge, and she frequently held her tongue between her teeth. Additionally, she was aware of clenching her jaw during the day. There were no audible joint sounds, and her jaw deviated 2 mm to the right when opening with a 42 mm range of motion. Load and immobilization tests both yielded negative results. Based on these clinical findings and the patient's responses on her dental history, a constricted chewing pattern (CCP) was suspected. Using a Kois deprogrammer (Kois Center, koiscenter.com), the diagnosis of CCP was confirmed.2
Risk: Moderate
Prognosis: Fair
Dentofacial: The patient wanted to create an appealing smile, which she never had. She was unhappy with her discolored, stained, and triangular-shaped restorations and wanted to reduce her gingival display. In the exaggerated full smile, all maxillary teeth and 4 mm of gingival tissue were visible, indicating excessive gingival display.3-5 Lip dynamics at the right canine measured 16.3 mm, indicating hyper lip mobility (Figure 7).6,7 With lips in repose (Figure 6), 2 mm to 3 mm of the maxillary lateral and central incisors was visible. The canines were not visible as they were positioned 1.2 mm under the upper lip. Gingival asymmetries were visible in the natural smile.
Risk: High
Prognosis: Poor
Treatment Goals
There were four main treatment goals: (1) decrease the biomechanical risks by eliminating active carious lesions and restoring defective restorations; (2) decrease the functional risks by treating CCP and create a balanced occlusion in an adapted centric relation position; (3) decrease the excessive gingival display; (4) increase the overall smile esthetics by improving the intra-arch tooth positions and restoring the teeth to a more attractive size, shape, and color.
Of the four main goals, decreasing the excessive gingival display was the most complex, both in etiology and treatment options. It was determined that there were four possible etiologies of this condition, and each would require a different treatment modality.
Treatment Plan
Understanding the etiology of this patient's excessive gingival display was crucial in the development of an appropriate treatment plan.8 The presence of vertical maxillary excess was ruled out because if this condition were present, the cuspid-to-lip measurement would have been a positive number. The maxillary central incisors probed less than 3 mm from the alveolar crest to the free gingival margin, indicating a high alveolar crest, which would require supragingival margins or SCL.9 Her upper lip mobility was 12 mm at the midline and 16.3 mm at the cuspid, indicating a hypermobile lip (Figure 7), which would require botulism toxin or surgical modification.6,7 The CCP would require orthodontic intervention.
The patient was offered treatment options consisting of orthodontic treatment, botulism toxin, lip repositioning surgery, and restorative treatment. She desired to achieve her esthetic goals with the least invasive treatment modality and therefore chose clear aligner therapy, SCL, and conservative restorative treatment. Clear aligners would enable the creation of proper intra-arch tooth relationships, retract teeth Nos. 23 through 26 to correct the CCP, and leave the maxillary teeth slightly linguoverted to preserve tooth structure when preparing the teeth for restorations. SCL would decrease the excessive gingival display, eliminate the gingival asymmetries, and create a normal osseous crest and dentogingival complex to decrease the risk of biologic width invasion.9 Enamel-supported porcelain veneers on teeth Nos. 7 through 10 would create the desired esthetic result without significant structural compromise.10,11 Composite resin restorations would be placed to treat caries on teeth Nos. 15, 18, and 19, and the defective composite restorations on teeth Nos. 2, 3, 14, 30, and 31 would be replaced.
Treatment Phases
Phase 1: Caries Control and Clear Aligner Treatment
Teeth Nos. 2, 3, 14, 15, 18, 19, 30, and 31 were restored with composite restorations, and the patient was placed on a caries management program. The orthodontic treatment, designed to reposition the mandibular incisors lingually to create correct functional horizontal overjet, was initiated and completed in 6 months. As a result of the improvement in intra-arch tooth position, the CCP was successfully corrected. An occlusal equilibration was completed using the Kois deprogrammer to achieve bilateral, equal-intensity, simultaneous contacts. An adapted centric relation record was taken and a diagnostic wax-up fabricated to create an intraoral esthetic mock-up for patient approval and a tooth preparation guide.
Phase 2: Surgical Crown Lengthening
Following local anesthesia, an internally beveled incision was performed in order to allow full-thickness flap reflection from maxillary right to maxillary left first molar (Figure 8). Osteoplasty was performed to improve bone thickness consistency followed by ostectomy with chisels to create a 3 mm space between the bone crest and CEJ. The flap was then coronally positioned and sutured in place (Figure 9), with healing completed by 3 months (Figure 10).
Phase 3: Mock-up and Creation of Provisional Restorations
A virtual mock-up was created using the Kois dentofacial analyzer (Kois Center) and photographs. A decision was made to shorten the incisal edge of tooth No. 8 by 1 mm and lengthen teeth Nos. 3 through 14 by 2 mm.
Phase 4: Veneer Preparation and Cementation
The patient returned approximately 6 months post-surgery for a direct esthetic mock-up to evaluate tooth size, shape, and length. A silicone matrix fabricated from the diagnostic wax-up was filled with a self-curing bisacryl material and seated intraorally over the existing veneers. The patient was anesthetized after patient and clinician approval of the mock-up. The existing porcelain veneers were removed, the mock-up was replaced on the teeth, and tooth preparations were performed through it to minimize removal of tooth structure (Figure 11). Final impressions were taken and provisional restorations were fabricated and cemented.
Two days later the patient returned for a digital scan and photographs of the provisionals for the laboratory to use as a guide. The patient returned 3 weeks later for try-in and approval of the lithium-disilicate veneers (IPS e.max®, Ivoclar, ivoclar.com) layered with e.max Ceram porcelain (Figure 12). The patient approved the veneers, which were then cemented using a light-cured resin cement (RelyX™ Unicem Veneer cement, 3M Oral Care, 3m.com) following the manufacturer's recommend protocols.
Phase 5: Post-cementation Maintenance
A maxillary nightguard was fabricated and delivered along with a mandibular clear retainer (Vivera™ retainers, Invisalign,
invisalign.com).
Discussion
The treatment performed was designed to meet the patient's
desired outcome and address the areas of risk established in the preoperative assessment. The dentofacial risk was reduced by decreasing the amount of gingival display and replacing the existing veneers for improved symmetry and esthetics (Figure 13).
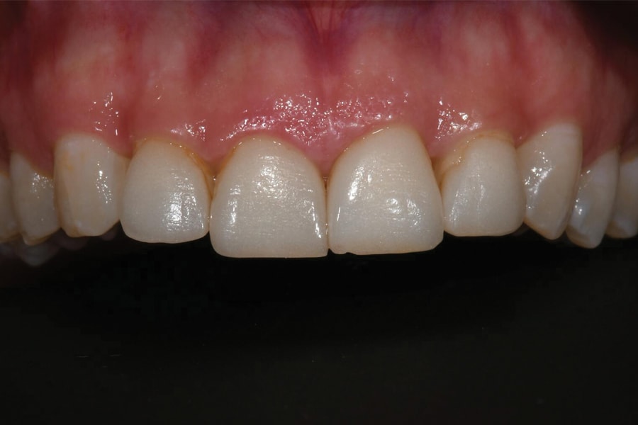
Although high lip dynamics remained, the amount of tissue displayed in her full smile was decreased without performing orthognathic surgery, lip repositioning surgery, or botulism injections. The functional risk was decreased by creating a balanced occlusion, which created a stable joint position and eliminated the premature loading during function. The biomechanical risk was reduced by removing the active carious lesions and defective restorations. The periodontal risk remained low even though some alveolar bone was removed from the facial aspect of the anterior teeth (Figure 14). The patient was thrilled with the esthetics obtained utilizing relatively conservative treatment methods.
Conclusion
Multiple treatment options exist for the treatment of excessive gingival display, which can have different etiologies. Understanding these etiologies is crucial to meeting the needs of the patient, as is determining the patient's risk and potential consequences for each treatment option. In this case, a conservative approach was chosen after defining the etiology of the excessive gingival display as a hypermobile lip.
Acknowledgment
The author thanks John Kois, DMD, MSD, for his mentorship; Kenneth Kimble, DDS, MS, for his periodontal treatment and collaboration on this case; and Colin Gibb, CDT, Kois Center mentor and owner of Red Mountain Dental Arts Inc., Mesa, Arizona, for his collaboration and beautiful ceramic restorations.
About the Author
Sheila Naik, DDS
Clinical Instructor, Kois Center, Seattle, Washington; Private Practice, Glendale, Arizona