Abstract: After completion of orthodontic treatment, retaining the orthodontic outcome is crucial. There are, however, a number of liabilities associated with long-term fixed retainers. This article describes unintended movements associated with some designs of fixed lingual retainers and suggests alternative designs while also identifying corrective measures that may be taken for reparative treatment. The article highlights inadvertent side effects of specific designs that need to be recognized and presents design options that may be more appropriate depending on the nature of the case.
Retention of an orthodontic result is a necessary step that must follow active orthodontic treatment. While the specific strategy chosen for retention is important, achieving retention is an inexact art with many nuances. Clinical judgments come into play to determine retainer design as well as frequency and duration of retainer utilization. Essentially, two general types of retainers are used: fixed and removable. Each has advantages and features that guide the choice of design. Factors such as pretreatment condition, extent and nature of movements accomplished, periodontal condition, and even logistic and compliance considerations must be taken into account. Further planning must be incorporated if restorative or implant dentistry needs to be sequenced into the case.
Previous articles have illustrated and analyzed inadvertent movements associated with fixed lingual retainers, including resultant movements from partially debonded, distorted, or even lost retainers,1-4 that result in what could be considered relapse-type movements. The present article, however, describes unintended or inadvertent movements associated with retainers that are different from relapse movements. Orthodontic relapse is a phenomenon whereby a tooth or teeth returns toward its pretreatment position, whereas the movements described herein are in a completely different direction and do not represent relapse. In fact, this type of movement is an active movement, brought about by the stored energy of the retainer itself, when it is not passive.
The purpose of this article, therefore, is to describe and depict unintended movements associated with certain designs of fixed lingual retainers that remain entirely intact, and to suggest alternative designs and propose corrective measures. The article examines the design of certain fixed lingual retainers with the purpose of highlighting unintended side effects of specific designs that need to be recognized and that may prompt the replacement of a particular design in some patients. More appropriate design options are also proposed. It is the author's contention that intervention is often in the best interest of many patients. Examples and cases are depicted throughout the article in Figure 1 through Figure 26.
Appliance Materials and Design
Both fixed and removable appliances have evolved and improved over time to be more comfortable, hygienic, durable, and more easily placed and, if necessary, repaired. The advent of digital manufacture of removable appliances has greatly facilitated both their fabrication and replacement when needed.
Fixed lingual retainers are customarily placed in the anterior region, on either or both arches. Consideration must be given to overbite and overjet for the maxillary arch to prevent occlusal interference. A deep bite case usually precludes the use of a maxillary fixed retainer. Bonded lingual retainers are designed to extend from cuspid to cuspid most frequently, but can also include first bicuspids or be made shorter to extend over fewer teeth when appropriate, depending on the pretreatment condition.
Early fixed lingual designs consisted of a thick stainless-steel wire (.025" to .032") bonded to the cuspids only (once banding became obsolete) and resting against the lingual surfaces of the incisors. However, when incisal movements (such as derotations) are accomplished, more secure stabilization of each tooth is preferable. Consequently, more streamlined designs bonded to each tooth have gained favor.
Conceptual features have driven the design of proper lingual retainers. The idea is to employ a wire that has enough strength and, more importantly, memory to accurately stabilize a tooth in its desired position while also allowing for some flexibility and physiologic mobility during function. In this way excessive forces (when chewing) are absorbed and bond failure is less likely when compared to a completely rigid design. However, if the fixed retainer is not completely passive when bonded it will impart active forces on the teeth over time.
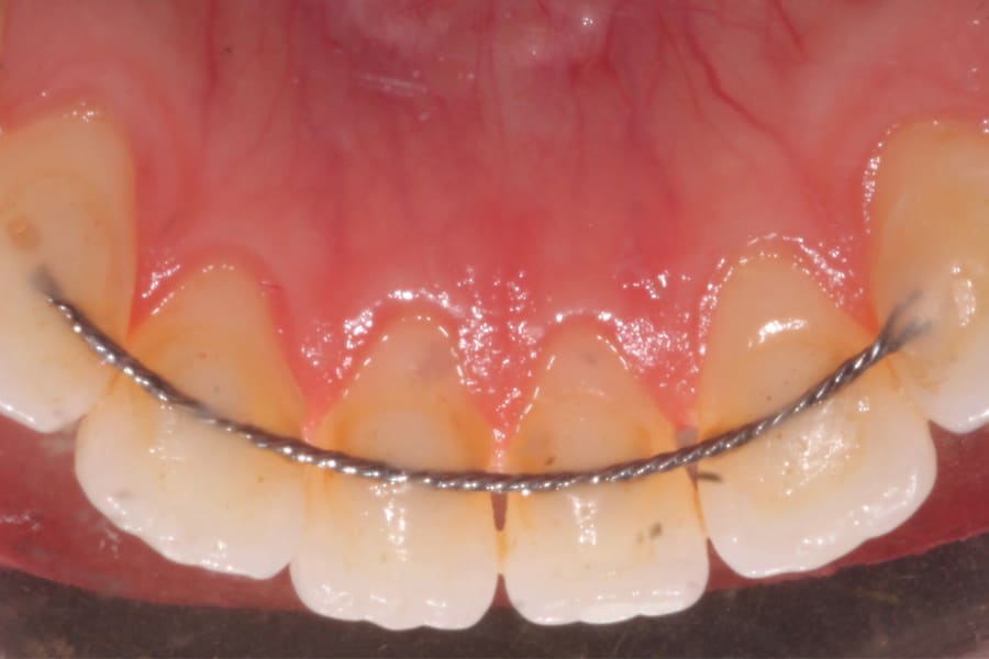
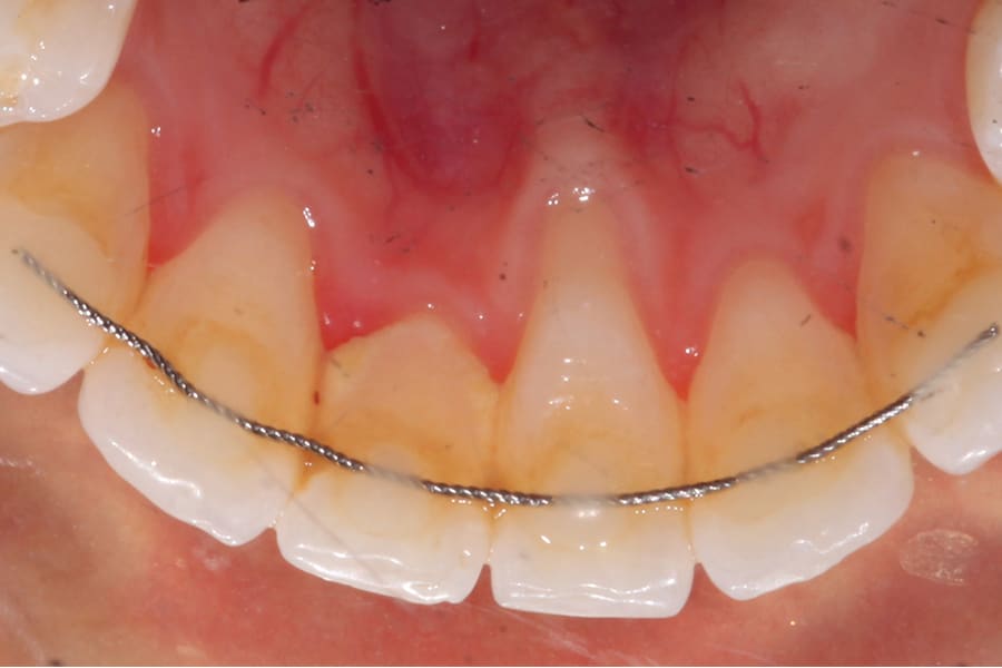
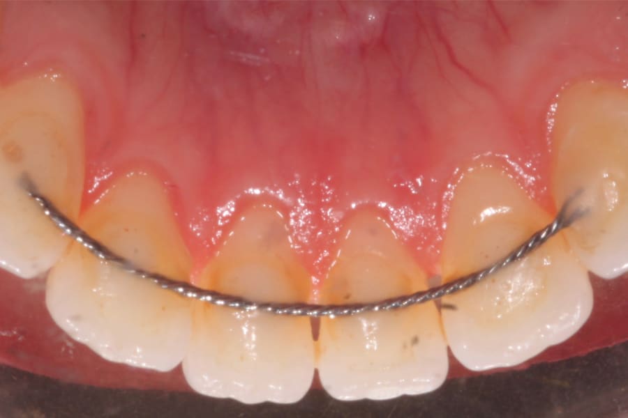
A popular example of this approach is the twisted stainless-steel wire retainer (Figure 1). This design features ease of fabrication and placement as well as minimal cost. Frequently, a twisted lingual retainer can be fabricated chairside and placed immediately with no preparation, impressioning, or laboratory fabrication required. Consequently, this design is commonly utilized. It can be made from a very thin wire (such as a .009" ligature tie) that is folded over and spun down (or twisted) then formed to the arch curvature and direct bonded. Annealing the formed wire prior to placement can be beneficial, as this can remove the "memory" that stainless steel possesses if not permanently deformed.
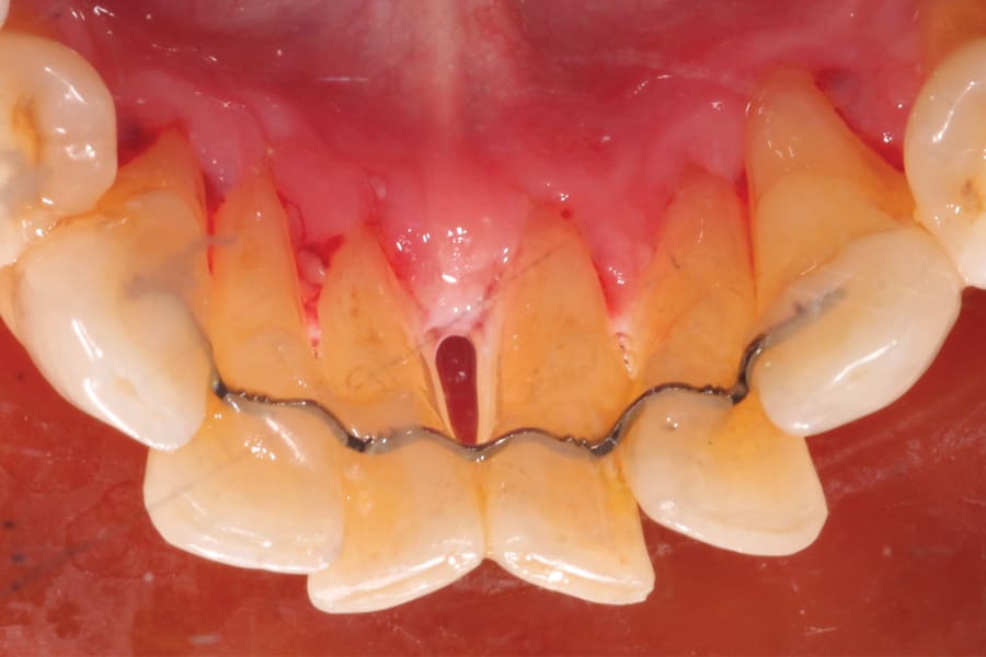
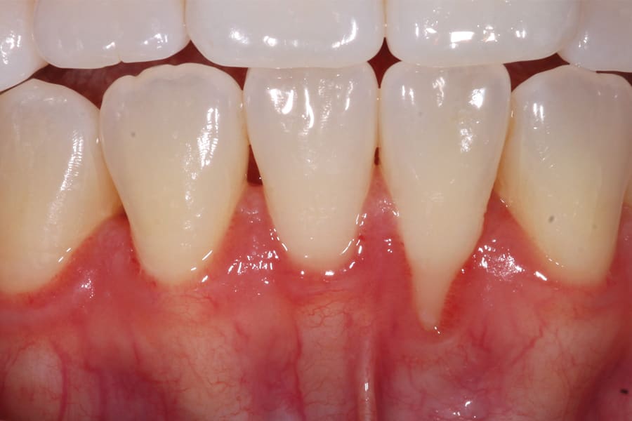
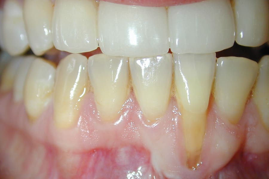
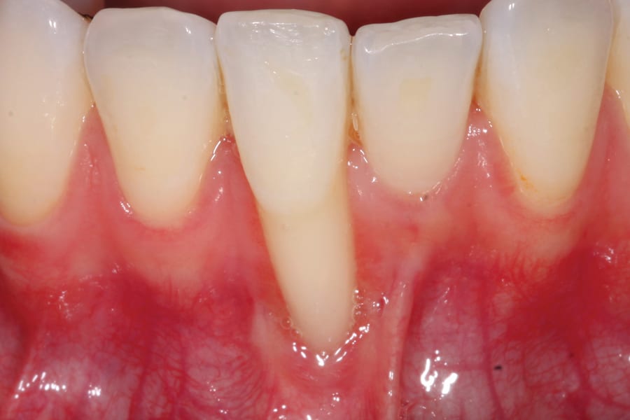
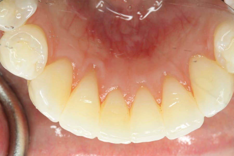
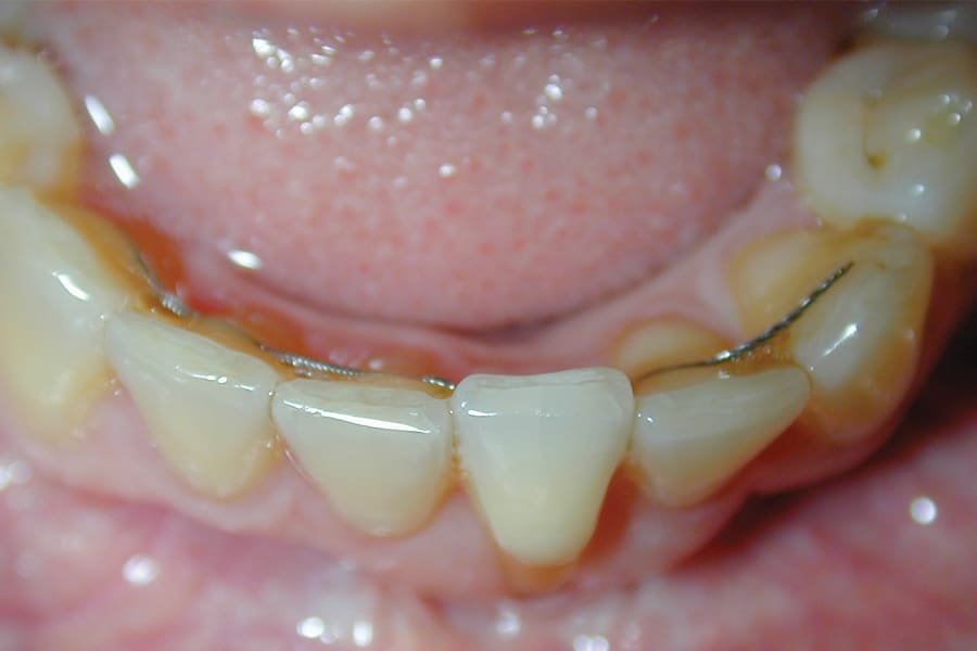
There are, however, some unfavorable long-term ramifications of this design. Due to the nature of stainless steel, which has memory and over time will partially return to its original shape, these twisted lingual retainers may "unwind" or uncoil and exert unintended forces on the teeth to which they are bonded (Figure 5 and Figure 6, Figure 8 through Figure 11, Figure 14 through Figure 16). This leads to excessive labial or lingual root torquing movements, often resulting in highly undesirable recessions, dehiscences, and fenestrations. Because it may take years for this occurrence to manifest, the orthodontist (who usually places the retainer) is typically both unaware of the situation, as he or she does not customarily follow patients for such long-term periods, and free of blame. The periodontal implications of this outcome can be highly detrimental, as seen in the cases presented herein.
Prevention
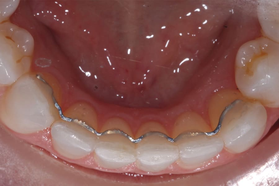
Obviously, more suitable and reliable fixed lingual retention designs are needed, and, fortunately, many are available. As described above, the twisted chairside fabricated design can be unreliable. A well-suited alternative is a passive braided design as shown in Figure 2 (Ortho FlexTech® stainless steel, Reliance Orthodontics, relianceorthodontics.com). The braided design does not uncoil over time. The lingual retainer is placed in passive fashion after being cut to the proper length from a spool and bonded to the appropriate teeth. This relatively inexpensive alternative is fabricated chairside with no laboratory intervention or special preparation required. One potential downside is that it is a relatively bulky option.
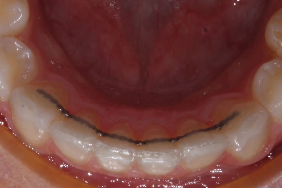
A second alternative is a laboratory-processed nickel-titanium splint (Figure 3) (Memotain®, AOA Lab, aoaaccess.com). The splint is manufactured via laser etching from a sheet of material conforming to a digital impression that is sent to a laboratory. Because the wire is not bent from stock, it is passive in nature and has no uncoiling tendency. It conforms accurately to tooth surfaces and is comfortable due to its streamlined design and intimate conformity. These characteristics also make it suitable as a splint when teeth are imperfectly aligned, as in a periodontally involved crowded dentition (Figure 4). Drawbacks of this design are the time and expense of laboratory fabrication.
Correction
Once deformities, such as an undesirable dehiscence or root position, are detected, remedial action should first involve correcting the tooth position. Although this endeavor can take time and be somewhat challenging, it can be accomplished in several ways. First, in all cases, the twisted lingual splint must be removed. Following this, one of three modalities may be used. One is to allow the teeth to relapse. This may not be the most desirable option, as it may also incur other untoward movements, such as allowing the teeth to return to the pretreatment positions. Further, this option will likely be slow to progress.
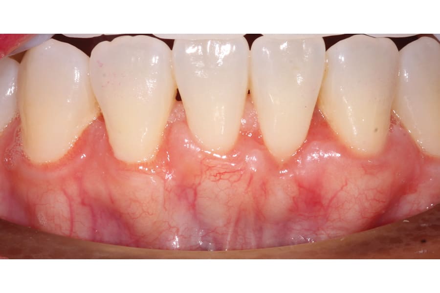
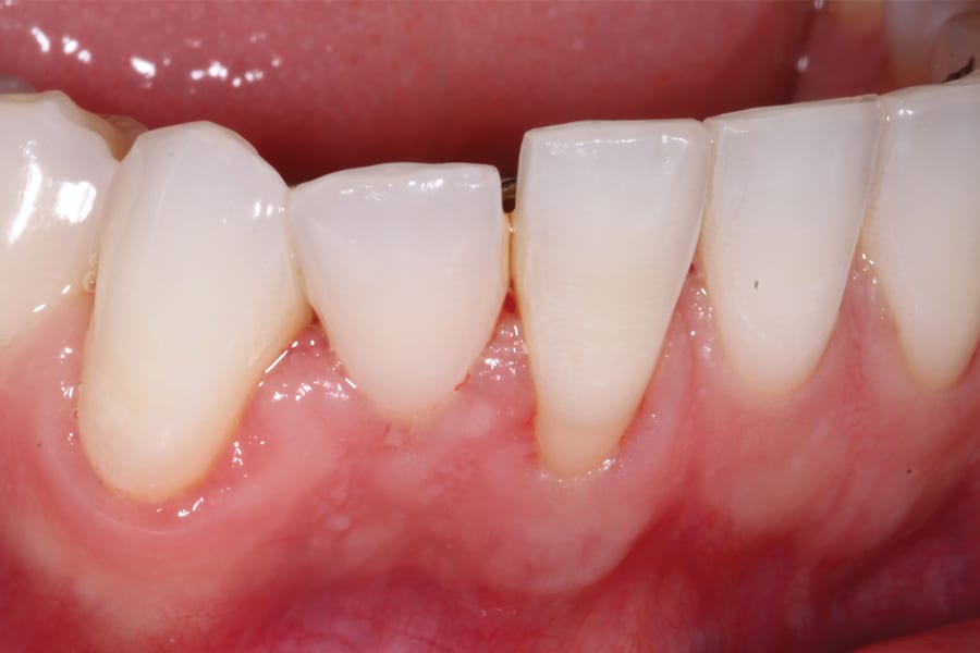
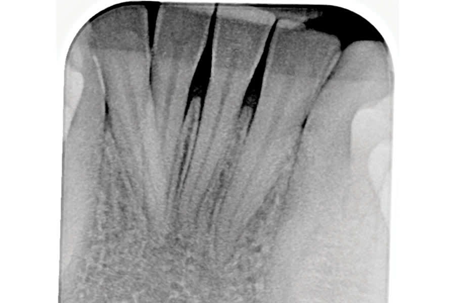
A second option is to use corrective orthodontic therapy in the form of fixed appliance application to torque the root back into the correct position (Figure 5 through Figure 7). This requires full-sized archwire insertion into a precision edgewise bracket (Figure 7). This can be a time-consuming undertaking, as the step-up through various archwires until fully engaging a full-sized wire will take a few months. Nevertheless, significant corrective changes often can be observed, as the tooth's investing structures often spontaneously remodel, at least partially, in response to the corrected tooth position (Figure 5 and Figure 7, Figure 11 and Figure 13).
A third option for correcting tooth position is via orthodontic aligner therapy (Figure 8 through Figure 13). With this modality, precise 3-dimensional control must be designed and incorporated into the aligner prescription. This option presents a more expedient alternative than the use of conventional fixed appliances, because the aforementioned stepwise progression of increasing the size of archwires is unnecessary, and corrective force can be applied from the onset (Figure 12). Significant overcorrection of the intended movement is recommended in the prescription. In this way, if the aligners do not fully express the movement, continued usage of them may accomplish it. Should the result be attained prior to the conclusion of all aligners, cessation (and more appropriate retention) is indicated.
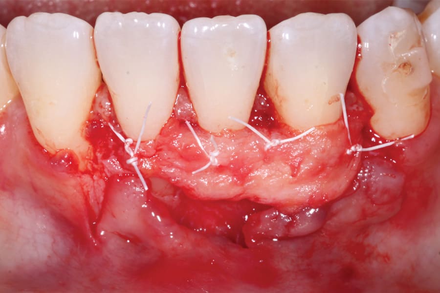
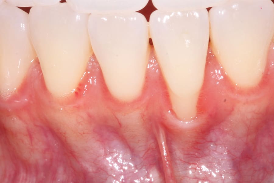
Although spontaneous improvement of the investing tissues is often observed through orthodontic correction (Figure 7 and Figure 13),5 additional corrective action is frequently indicated afterwards, particularly when cosmetics are to be considered. A recession defect case is depicted in Figure 17 through Figure 26 in which corrective action was necessary and accomplished through aligner therapy followed by connective tissue grafting.6 It should be noted that although this corrective scheme may successfully achieve an acceptable cosmetic and functional result, it is not likely a regenerative outcome in the sense that a previously dehisced root surface typically will not attain ligamentous insertion into freshly laid cementum. A long junctional epithelium or connective tissue attachment at best is the more likely outcome. Consequently, a preventive approach initially would be more desirable.
Conclusion
An effective fixed lingual retainer must be passive at the time of placement, properly designed to retain the teeth that could relapse, hygienic, comfortable, and able to be reliably bonded in place. The retainer needs to remain in place for the sufficient amount of time to achieve its intended purpose. Lastly, the appliance needs to be monitored regularly by a dentist, orthodontist, or even hygienist to ensure that it remains intact.
About the Author
Frank Celenza, DDS
Assistant Clinical Professor, Rutgers University School of Dental Medicine,
Departments of Post-Graduate Periodontics and Orthodontics, Newark, New Jersey; Certified Periodontist and Certified Orthodontist, Private Practice, New York, New York