Leonardo da Vinci once wrote that sleep and hunger would overcome a poet before being able to describe with words what a painter could depict in an instant,1 and Arthur Brisbane was quoted as saying, "Use a picture. It's worth a thousand words."2 These thoughts convey the immense power that images have in describing things and helping people to visualize what is being communicated. Accordingly, this pictorial case report presents a Class I tooth restoration using a biomimetic approach with adhesively bonded restorative materials. A discussion follows.
Case Report
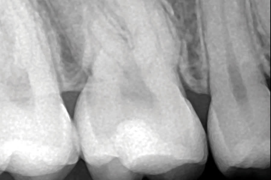
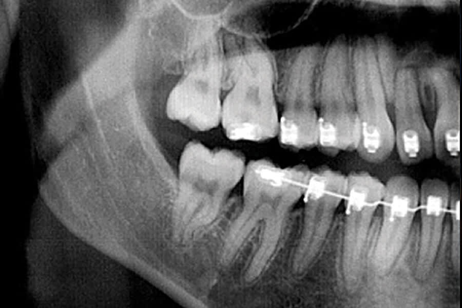
In a radiograph acquired prior to the removal of a patient's orthodontic hardware, a mid-crown radiolucency was noted on the maxillary right first molar (ie, tooth No. 3) (Figure 1). A visual examination of the crown did not indicate the presence of an obvious Class I lesion at the surface (Figure 2); however, the initial access revealed a penetrating caries lesion (Figure 3). After all of the soft carious substance was debrided, the preparation was disinfected by completing two 60-second soaks using a universal desensitizing agent with glutaraldehyde (MicroPrime™ G, Zest Dental Solutions) (Figure 4).3 Next, a round diamond bur was used to remove all of the carious dentin and establish proper retention form (Figure 5). Dentin replacement was achieved with a resin-modified calcium silicate-filled liner (TheraCal LC®, BISCO, Inc) (Figure 6). To replace the enamel, a self-etching bonding agent was applied (Adper™ Prompt™ L-Pop™, 3M) (Figure 7) followed by a bioactive resin-modified glass ionomer (RMGI) restorative material (ACTIVA™ BioACTIVE-RESTORATIVE™, PULPDENT), which was injected to overfill (Figure 8). After a curing light beam was applied for two 20-second exposures (1,200 mW/cm2) (Figure 9), a round diamond bur was used at slow speed to shape the occlusal contour (Figure 10). A final layer of the self-etching bonding agent was then applied to "glaze" the surface and improve the seal of the restoration (Figure 11), after which the occlusion was evaluated (Figure 12). The restoration was found to still be in excellent function with no signs of secondary decay or other complications at both a 2-year postoperative follow-up (Figure 13 and Figure 14) and a 5-year, 2-month postoperative follow-up (Figure 15 and Figure 16).
Discussion
Biomimesis, which is also referred to as biomimicry, is "the attempt to imitate features of living systems."4 Whenever a human part is restored or substituted, form and function should be replicated. Croll and Cavanaugh cited this goal in describing methods to restore teeth with Class I and Class II caries lesions.5-7 To replace the dentin, they used one of the RMGI systems as a liner/base, and to replace the enamel, the RMGI was overlaid with a bonded resin-base composite material. In this manner, adhesive bonding results not only between the resin and the acid-etched enamel but also between the stratified materials due to the resin components. This method of tooth repair is still quite successful. In addition, when wear or erosion affect the enamel replacement over time, the restoration can be repaired by resurfacing, often without the need for a local anesthetic.8
An important consideration in the clinical application of vital pulp therapy is the decision regarding whether or not to retain firm but affected dentin immediately adjacent to a vital pulp in order to avoid a direct pulp exposure and the potential complications associated with direct communication between the pulp and the restoration.9 When clinical judgement leads to retaining a small area of caries-affected but firm dentin immediately adjacent to a vital pulp, a conservative choice is the sequential application of appropriate and biocompatible restorative materials as illustrated in this case report.
Histologic and clinical research has demonstrated that pulpal biocompatibility in situations of reduced dentin thickness in close proximity to the pulp can be enhanced with and complimented by the use of calcium-based, bioactive materials.10 The first of these vital pulp therapy materials to be used, which served as the clinical standard of care for both indirect and direct pulp capping for more than 5 decades, was the hard-setting calcium hydroxide liner (eg, Dycal®, Dentsply Sirona; Life®, Kerr).11,12 More recently, calcium silicate-based, chemically bonded, water-based cements have emerged as alternative and apparently more efficacious therapeutic materials in vital pulp therapy.13 The original commercially-available product in this category, mineral trioxide aggregate (MTA), was actually a complex composition containing predominately tricalcium silicate, dicalcium silicate, and tricalcium aluminate.13,14 These powder-based compositions were highly reactive with water and underwent setting after being mixed with water or a water-based solution containing setting or hydration/viscosity modifiers.13,14 As an alternative, water-based calcium silicate formulations based predominately on tricalcium silicate (eg, Biodentine®, Septodont; EndoSequence® Root Repair Material, Brasseler USA) were developed, which have been shown to demonstrate a similar pulpal response histologically to that of MTA in vital pulp therapy.15 Most recently, about 10 years ago, single-component, dual-cure, calcium silicate-containing materials became available. These materials (eg, TheraCal LC® and TheraBase®, BISCO, Inc) are designed to provide command-setting characteristics and overcome the necessary mixing and slow-setting characteristics of MTA and MTA-related water-mixed compositions.16 In addition, other calcium-releasing liners that use alternative calcium fillers, such as calcium hydroxide, calcium-phosphate, or hydroxyapatite, have also become available for clinical use (eg, Lime-Lite™ Enhanced, Pulpdent).16,17
These light-cure, calcium-releasing bioactive materials can provide optimal pulpal biocompatibility when applied in close proximity to the pulp for selective caries removal techniques and indirect pulp capping.18 In fact, an extensive meta-analysis of the available literature suggests that a light-cure, single-component, calcium silicate-based liner may be the preferred material for the indirect pulp capping technique.19 Moreover, these bioactive materials may provide an enhanced ability to remineralize and increase the mechanical microhardness of caries-affected, demineralized dentin.20,21
This case illustrates the choice of a bioactive, fluoride-releasing RMGI material as the final restorative layer for the restoration. Although there are numerous RMGIs available for clinical use, the one utilized in this case presentation offers fluoride release and possesses sufficiently strong mechanical properties to be used as a definitive, final restorative material.22 Thus, an optimal dentin/enamel replacement complex was achieved by combining the biocompatibility and remineralizing ability of a calcium silicate-based material with the protective, fluoride releasing ability of an overlying, bioactive and biocompatible RMGI material with enhanced physical properties in a stratified, adhesively bonded, tooth repair technique.
As a final note and consideration regarding this restorative technique, when the decision is made to retain affected dentin using selective caries removal combined with indirect pulp capping, disinfection of the residual bacteria in the affected dentin layer is desirable.23 Use of a topical desensitizing agent containing glutaraldehyde (a known antimicrobial agent), like the one used in this case, offers one option to reduce the number of bacteria retained in the affected dentin prior to the sequential application of the overlaying restorative materials.24
About the Authors
Peter Fawzy Rofaeil Abdelmalak, BDS
Internship Certificate
Faculty of Oral and Dental Medicine
Modern University for Technology & Information
Cairo, Egypt
Theodore P. Croll, DDS
Clinical Professor of Pediatric Dentistry
Case Western Reserve University School of Dental Medicine
Cleveland, Ohio
Adjunct Professor of Pediatric Dentistry
University of Texas Health Science Center at San AntonioSan Antonio, Texas
Clinic Director
Cavity Busters Doylestown
Doylestown, Pennsylvania
Steven R. Jefferies, MS, DDS, PhD
Guest Researcher
Department of Applied Materials Science
Uppsala University
Uppsala, Sweden